Midfoot Fusion
Midfoot Arthrodesis Surgery in Hawaii
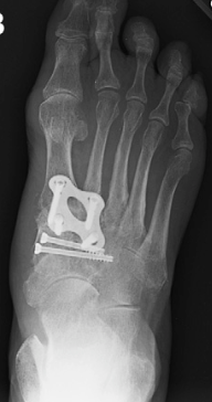
Midfoot arthrodesis is performed to treat painful midfoot arthritis, instability, or deformity, often following trauma such as a Lisfranc injury. The procedure stabilizes the midfoot by fusing the affected joints.
Surgery is recommended when non-surgical measures fail to provide adequate relief.
How Surgery Is Performed
Midfoot arthrodesis involves removing remaining cartilage from the affected midfoot joints and securing them in proper alignment using internal fixation. The specific joints fused depend on the location and extent of disease.
Goals of surgery include:
Relieving pain caused by arthritic joint motion
Restoring arch stability
Improving walking tolerance
Preventing progression of deformity
Recovery After Surgery
Recovery is structured and protective to allow bone fusion.
Typical recovery progression includes:
Period of immobilization with non–weight bearing
Gradual progression to protected and then full weight bearing
Physical therapy focused on gait mechanics, strength, and balance
Return to daily activities over several months
Risks and Considerations
Risks include nonunion, infection, hardware irritation, stiffness, or continued discomfort. Successful outcomes depend on alignment and adherence to postoperative restrictions.
Office Location
30 Aulike St. Suite 201
Kailua, HI 96734
Contact Information
scheduling@windortho.net
(808) 261-4658
Surgical Facilities
Castle Medical Center
Windward Surgery Center
