Hindfoot Arthritis
Hindfoot Arthritis Treatment in Hawaii
Hindfoot arthritis is a degenerative condition affecting the joints in the back of the foot—most commonly the subtalar, talonavicular, and calcaneocuboid joints. These joints are essential for adapting to uneven ground and for side-to-side motion of the foot. When arthritis develops, patients often experience chronic pain, stiffness, and difficulty walking on uneven surfaces.
In Hawaii, hindfoot arthritis frequently develops in people who spend years walking on uneven terrain, such as sandy beaches, lava rock, or hiking trails. Activities like walking barefoot along the shoreline, hiking trails such as Makapuʻu, Lanikai Pillbox, or Diamond Head, or standing for long periods on hard surfaces in slippers can place repetitive stress on the hindfoot joints. Prior injuries—such as ankle fractures, calcaneal fractures, or severe ankle sprains—are also a common cause of arthritis in this region of the foot.
At our foot and ankle orthopedic practice we specialize in the evaluation and treatment of hindfoot arthritis, offering both non-surgical and surgical options for patients throughout Kailua, Honolulu, and across Oʻahu.
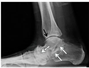
Diagnosis of Hindfoot Arthritis
Diagnosis of hindfoot arthritis begins with a comprehensive clinical examination, focusing on pain location, joint motion, alignment, and gait mechanics. Patients often report pain below or behind the ankle that worsens with walking on uneven ground or with prolonged standing.
Weight-bearing X-rays are typically used to confirm the diagnosis and may demonstrate joint space narrowing, bone spurs, deformity, or post-traumatic changes. In more complex cases, CT scans may be obtained to better evaluate joint surfaces and assist with surgical planning.
Accurate diagnosis is essential, as treatment strategies vary depending on which hindfoot joints are involved and the severity of arthritis.
Symptoms of Hindfoot Arthritis
Common symptoms of hindfoot arthritis include:
Pain in the back or bottom of the foot, often below the ankle
Stiffness and reduced side-to-side foot motion
Pain that worsens on uneven surfaces, sand, or trails
Swelling around the hindfoot or ankle
Progressive difficulty with walking or prolonged standing
Symptoms often develop gradually and may be exacerbated by daily island activities that involve uneven terrain.
Non-Surgical Treatment Options
Early or moderate hindfoot arthritis may be managed with conservative treatment, including:
Activity modification
Supportive or stiff-soled footwear
Custom orthotics or bracing
Anti-inflammatory medications
Corticosteroid injections in select cases
These treatments aim to reduce pain and improve function but do not reverse underlying joint degeneration.
Surgical Treatment for Hindfoot Arthritis
When non-surgical treatment no longer provides adequate relief, surgical management may be recommended. Surgical options depend on the joints involved and may include:
The goal of surgery is to relieve pain, restore stability, and improve overall function, allowing patients to return to daily activities and an active lifestyle in Hawaii.
Office Location
30 Aulike St. Suite 201
Kailua, HI 96734
Contact Information
scheduling@windortho.net
(808) 261-4658
Surgical Facilities
Castle Medical Center
Windward Surgery Center
