Arthritis of the Big Toe (Hallux Rigidus) in Hawaii
Arthritis of the Big Toe (Hallux Rigidus) in Hawaii
Arthritis of the big toe—medically referred to as hallux rigidus—is a degenerative condition that affects the metatarsophalangeal (MTP) joint at the base of the big toe. This joint plays a critical role in walking and push-off, and degeneration can lead to pain, stiffness, and loss of motion over time.
For many people living in Hawaii, big toe arthritis develops gradually from repetitive stress and long-term joint wear rather than a single traumatic event. Activities such as walking long distances in slippers, spending hours barefoot on uneven sand, hiking trails like Lanikai Pillbox or Makapuʻu, or regularly surfing and walking across rocky shorelines can all place repetitive strain on the big toe joint. Prior injuries, such as stubbing the toe or sustaining a sports-related injury, can also accelerate joint degeneration.
At our clinic we specialize in the evaluation and treatment of arthritis of the big toe, offering both non-surgical and surgical options for patients throughout Kailua, Honolulu, and across Oʻahu.
Diagnosis of Big Toe Arthritis
Diagnosis of big toe arthritis begins with a thorough clinical examination, focusing on joint motion, pain location, swelling, and gait mechanics. Patients often demonstrate reduced upward motion (dorsiflexion) of the big toe and pain with push-off.
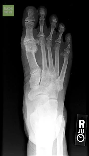
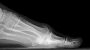
X-rays are commonly used to confirm the diagnosis and may show joint space narrowing, bone spurs, and degenerative changes of the MTP joint. Advanced imaging is rarely required but may be considered in select cases to evaluate associated cartilage damage or prior injury.
Early and accurate diagnosis is important, as treatment options and outcomes depend on the severity of joint degeneration and the patient’s activity level.
Symptoms of Hallux Rigidus
Common symptoms of arthritis of the big toe include:
Pain at the base of the big toe, especially with walking or activity
Stiffness and reduced range of motion
Swelling or inflammation around the joint
Difficulty wearing certain shoes
Pain with push-off during walking, running, or climbing stairs
Symptoms often worsen with prolonged activity and may be more noticeable during daily island activities such as walking on uneven terrain or barefoot on hard surfaces.
Non-Surgical Treatment Options
Early or mild cases of big toe arthritis may be managed without surgery. Non-operative treatment options can include:
Activity modification
Shoe modifications or stiff-soled footwear
Orthotics designed to limit painful joint motion
Anti-inflammatory medications
Corticosteroid injections in select cases
These treatments aim to reduce pain and improve function but do not reverse underlying arthritis.
Surgical Treatment for Big Toe Arthritis
When symptoms persist despite conservative treatment, surgical intervention may be recommended. Surgical options depend on the severity of arthritis and may include:
The goal of surgery is to relieve pain, improve function, and allow patients to return to daily activities and an active lifestyle in Hawaii.
Office Location
30 Aulike St. Suite 201
Kailua, HI 96734
Contact Information
scheduling@windortho.net
(808) 261-4658
Surgical Facilities
Castle Medical Center
Windward Surgery Center
