Achilles Tendon Rupture
Achilles Tendon Rupture Treatment in Hawaii
An Achilles tendon rupture is a serious injury involving a partial or complete tear of the Achilles tendon, the strong band of tissue connecting the calf muscles to the heel bone. Ruptures most often occur during sudden, forceful movements such as jumping, sprinting, or pivoting, and are commonly described as a pop or snap in the back of the ankle, followed by pain, swelling, and difficulty walking.
In Hawaii, this type of injury frequently happens during activities that are part of island life — for example, jogging in Waikiki, leaping for a volleyball at Magic Island, playing pickle ball at Mother Waldron Park, or pushing hard on an early morning run up the Kaʻiwapū Trail. These movements place sudden stress on the tendon and can lead to a tear, especially when muscles are fatigued or insufficiently warmed up.
At our foot and ankle orthopedic practice in Kailua, we specialize in the evaluation and treatment of Achilles tendon ruptures, providing both non-surgical and surgical care for patients throughout Kailua, Honolulu, and across Oʻahu.
What Is an Achilles Tendon Rupture?
An Achilles tendon rupture occurs when excessive force is applied to a tendon that may already be weakened by degeneration, overuse, or underlying tendinopathy. The injury may be partial or complete, with complete ruptures often resulting in significant loss of push-off strength and impaired gait.
Risk factors for Achilles tendon rupture include:
Sudden increase in athletic activity
Sports involving running, jumping, or rapid changes in direction
Prior Achilles tendon pain or tendinitis
Limited calf flexibility
Certain medications, including fluoroquinolone antibiotics
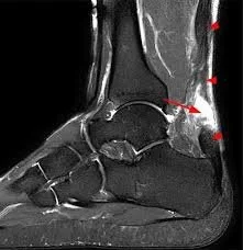
Diagnosis of Achilles Tendon Rupture
Diagnosis is based on a detailed history and physical examination. Common findings include weakness with plantarflexion and, in some cases, a palpable gap in the tendon. Ultrasound or MRI may be obtained to confirm the diagnosis, assess the extent of the tear, and guide treatment decisions.
Symptoms of an Achilles Tendon Tear
Patients with an Achilles tendon rupture may experience:
Sudden pain in the back of the ankle or calf
A popping or snapping sensation at the time of injury
Swelling or bruising near the heel
Weakness when walking or climbing stairs
Difficulty standing or pushing off on the affected foot
Early evaluation by a foot and ankle orthopedic surgeon is important, as timely treatment can significantly affect recovery and long-term function.
Non-Surgical Treatment Options
In many patients, non-operative treatment may be the best treatment option. This typically involves functional bracing or casting with the foot positioned downward, followed by a structured rehabilitation program. Non-surgical treatment may be considered for:
Partial tears
Less active individuals
However, non-operative care may carry a higher risk of strength discrepancy during high level physical activity in some patient populations.
Surgical Repair of Achilles Tendon Rupture
Achilles tendon repair surgery is commonly recommended for active individuals and patients seeking to restore strength, endurance, and push-off power. Surgery involves re-approximating and suturing the torn ends of the tendon, using either an open or minimally invasive approach depending on the injury pattern and tendon quality.
The goals of surgery include:
Restoring tendon continuity and strength
Reducing the risk of re-rupture
Improving gait mechanics and calf function
Supporting a safe return to work, daily activities, and sports
Recovery and Rehabilitation
Following surgery, the ankle is typically immobilized in a splint, cast, or walking boot, with gradual progression to weightbearing. Rehabilitation advances in phases and includes:
Protected immobilization
Controlled range-of-motion exercises
Progressive strengthening
Functional and sport-specific training
Most patients return to routine daily activities within 4 to 6 months, though full recovery for high-impact or athletic activities may take longer.
Risks and Considerations
Achilles tendon rupture surgery has a high success rate, but potential risks include infection, wound healing issues, stiffness, and nerve irritation. Treatment decisions are individualized based on injury severity, activity level, and long-term goals.
Office Location
30 Aulike St. Suite 201
Kailua, HI 96734
Contact Information
scheduling@windortho.net
(808) 261-4658
Surgical Facilities
Castle Medical Center
Windward Surgery Center
