Midfoot Arthritis
Midfoot Arthritis Treatment in Hawaii
Midfoot arthritis is a degenerative condition affecting the joints in the middle portion of the foot, including the tarsometatarsal, naviculocuneiform, and intercuneiform joints. These joints play a key role in maintaining arch stability and transferring forces during walking. Degeneration in this area can lead to chronic pain, swelling, and difficulty with prolonged standing or walking.
In Hawaii, midfoot arthritis often becomes symptomatic in individuals who spend years walking barefoot or in minimal footwear, standing for long periods, or walking on uneven surfaces such as sand, trails, or rocky ground. Prior injuries—such as Lisfranc injuries, fractures, or repetitive midfoot sprains—are a common cause of arthritis in this region.
What is Midfoot Arthritis?
The midfoot functions as a rigid lever during push-off while also providing stability to the arch. Arthritis develops when the cartilage within the midfoot joints wears down, leading to painful bone-on-bone contact, inflammation, and loss of joint motion.
Midfoot arthritis is frequently post-traumatic, meaning it develops years after an injury that disrupted joint alignment or cartilage health. Over time, collapse of the arch and progressive deformity may occur, increasing stress on surrounding joints and soft tissues. Without appropriate treatment, midfoot arthritis can significantly limit mobility and daily function.
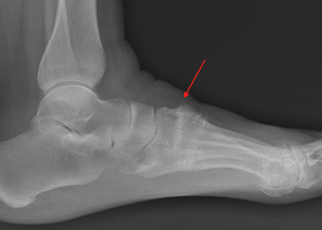
Diagnosis of Midfoot Arthritis
Diagnosis begins with a thorough clinical evaluation, focusing on pain location, swelling, arch stability, and gait mechanics. Palpation over the midfoot joints often reproduces symptoms, and pain is commonly worse with push-off or prolonged standing.
Symptoms of Midfoot Arthritis
Common symptoms include midfoot pain, swelling on the top of the foot, stiffness, pain with walking or standing, discomfort on uneven surfaces, and difficulty wearing certain shoes due to dorsal bony prominence.
Imaging is essential for diagnosis. Weight-bearing X-rays typically demonstrate joint space narrowing, bone spurs, sclerosis, or collapse of the arch. CT scans may be used to better define the extent of arthritis and assist with surgical planning, while MRI can evaluate associated soft-tissue pathology in select cases.
Non-Surgical Treatment Options
Early or moderate midfoot arthritis may be managed with non-surgical treatment, including:
Activity modification
Supportive or stiff-soled footwear
Custom orthotics to limit painful joint motion
Anti-inflammatory medications
Image-guided injections in select cases
These treatments aim to reduce pain and improve function but do not reverse underlying joint degeneration.
Surgical Treatment for Midfoot Arthritis
Surgical treatment may be recommended for patients with persistent pain despite non-surgical care, progressive deformity, or functional limitation. Surgical options depend on the joints involved and may include:
The goals of surgery are to relieve pain, restore stability, and improve long-term function, while preserving overall foot mechanics.
Recovery and Rehabilitation After Midfoot Arthritis Treatment
Recovery from midfoot arthritis treatment depends on whether care is non-surgical or surgical. Non-surgical management focuses on long-term symptom control and activity modification.
After surgical treatment, recovery typically involves a period of immobilization and limited or non-weight bearing, followed by gradual progression of weight bearing as healing occurs. Rehabilitation focuses on restoring strength, flexibility, and normal gait mechanics while protecting the fused or reconstructed joints.
Full recovery may take several months, particularly after fusion procedures, and careful adherence to rehabilitation protocols is essential to achieve optimal outcomes and prevent adjacent joint overload.
Office Location
30 Aulike St. Suite 201
Kailua, HI 96734
Contact Information
scheduling@windortho.net
(808) 261-4658
Surgical Facilities
Castle Medical Center
Windward Surgery Center
