Lisfranc Injury
Lisfranc Injury and Fracture Treatment in Hawaii
A Lisfranc injury involves damage to the ligaments and/or bones of the midfoot, specifically the tarsometatarsal (Lisfranc) joint complex that stabilizes the arch of the foot. These injuries range from subtle ligament sprains to severe fracture-dislocations and are often missed initially, which can lead to chronic pain and instability if not treated appropriately.
In Hawaii, Lisfranc injuries commonly occur during falls on uneven terrain, missteps on sand or lava rock, surf- or water-related accidents, and sports or recreational activities that involve twisting through the midfoot. Patients may also sustain Lisfranc injuries during motor vehicle accidents or from a direct blow to the foot.
What are Lisfranc Injuries and Fractures?
The Lisfranc joint complex connects the forefoot to the midfoot and plays a critical role in maintaining arch stability and transferring forces during walking and push-off. Injury occurs when excessive force causes disruption of the stabilizing ligaments, fractures of the metatarsal bases, or both.
Because these joints are essential for normal foot mechanics, even small amounts of displacement can significantly alter function. Untreated or improperly treated Lisfranc injuries can lead to chronic midfoot pain, collapse of the arch, and early arthritis, making early recognition and appropriate management essential.
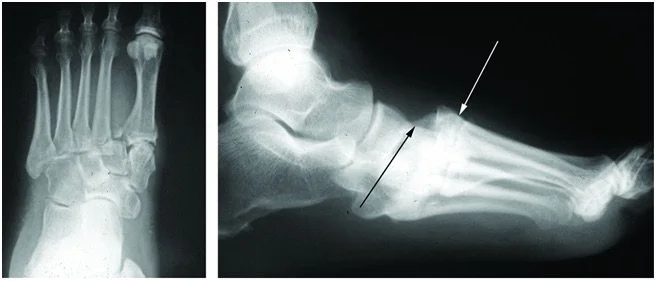
Diagnosis of Lisfranc Injuries and Fractures
Diagnosis begins with a detailed clinical evaluation, focusing on midfoot swelling, tenderness, bruising (particularly plantar bruising), and pain with weight bearing or push-off. A high index of suspicion is required, as these injuries may initially appear mild.
Symptoms of Lisfranc Injuries and Fractures
Common symptoms include midfoot pain, swelling, difficulty or inability to bear weight, bruising on the top or bottom of the foot, pain with standing or walking, and worsening discomfort with activity.
Imaging is critical for accurate diagnosis. Weight-bearing X-rays are often required to identify subtle instability or widening between the metatarsals. CT scans are commonly used to define fracture patterns and joint involvement, while MRI may be helpful for detecting purely ligamentous injuries.
Non-Surgical Treatment Options
Non-surgical treatment may be appropriate for stable Lisfranc injuries without displacement. Conservative management may include:
Immobilization in a cast or boot
Strict non-weight bearing
Close clinical and radiographic follow-up
Gradual progression of activity once healing is confirmed
Careful monitoring is essential, as even initially stable injuries can become unstable over time.
Surgical Treatment for Lisfranc Injuries and Fractures
Surgical treatment is commonly recommended for Lisfranc injuries with displacement, instability, or associated fractures. Surgical options depend on injury severity and may include:
Open reduction and internal fixation
Staged procedures for severe injuries
The goals of surgery are to restore alignment, maintain arch stability, and reduce the risk of long-term pain and arthritis. Recovery often involves a prolonged period of non-weight bearing followed by structured rehabilitation.
Recovery and Rehabilitation
Recovery after a Lisfranc injury depends on injury severity and treatment approach. Non-surgical injuries require prolonged immobilization and protection.
Following surgical treatment, recovery typically includes extended non-weight bearing, followed by gradual progression and physical therapy. Full recovery may take several months, and some stiffness or discomfort may persist.
Office Location
30 Aulike St. Suite 201
Kailua, HI 96734
Contact Information
scheduling@windortho.net
(808) 261-4658
Surgical Facilities
Castle Medical Center
Windward Surgery Center
