Achilles Tendinopathy
Achilles Tendinopathy Treatment in Hawaii
Achilles tendinopathy is a chronic overuse condition affecting the Achilles tendon, the thick band of tissue connecting the calf muscles to the heel. It causes pain, stiffness, and functional limitation and does not involve an acute tear or rupture.
Common causes include:
Repetitive stress from running, jumping, or increased activity
Tight calf muscles or limited ankle flexibility
Training errors or sudden activity changes
What is Achilles Tendinopathy
Non-insertional Achilles tendinopathy
Affects the mid-portion of the tendon
More common in younger, active individuals
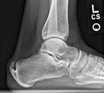
Insertional Achilles tendinopathy
Occurs where the tendon attaches to the heel bone
More common in older adults
Often associated with bony irritation at the heel
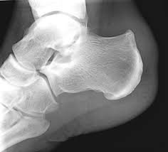
Haglund’s deformity
A bony prominence at the back of the heel
Can worsen insertional Achilles pain
Symptoms may be aggravated by stiff-backed footwear
Symptoms and Diagnosis
Common symptoms include:
Pain during or after activity
Morning stiffness in the Achilles tendon
Localized tenderness or thickening of the tendon
Heel-based pain in insertional cases, often worsened by uphill walking or tight shoes
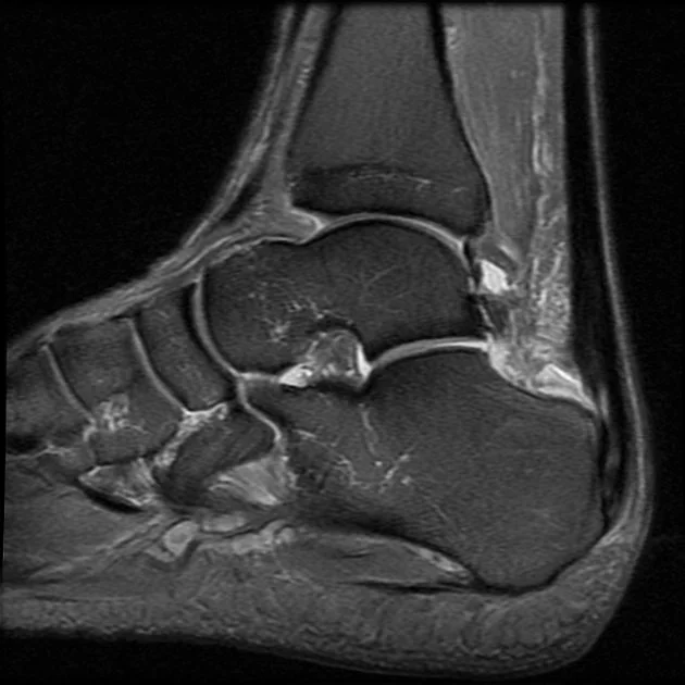
Diagnosis typically involves:
Focused physical examination
Ultrasound or MRI when needed to assess tendon degeneration
Exclusion of partial tears or acute Achilles tendon rupture
Non-surgical treatment is the primary approach and may include:
Activity modification and relative rest
Physical therapy with eccentric strengthening
Calf stretching and flexibility exercises
Heel lifts or orthotics
Supportive footwear modifications
Surgical treatment may be considered when:
Symptoms persist despite prolonged conservative care
Significant tendon degeneration is present
Bony irritation contributes to ongoing pain
Office Location
30 Aulike St. Suite 201
Kailua, HI 96734
Contact Information
scheduling@windortho.net
(808) 261-4658
Surgical Facilities
Castle Medical Center
Windward Surgery Center
