Bunion (hallux valgus)
Bunion Treatment in Hawaii
A bunion, also known as hallux valgus, is a progressive deformity of the big toe joint in which the toe drifts toward the smaller toes, creating a painful bony prominence along the inside of the foot. Over time, bunions can lead to joint degeneration, altered gait mechanics, and difficulty with footwear.
For many people living in Hawaii, bunions develop gradually due to a combination of genetics, foot structure, and repetitive stress. Daily activities such as walking long distances in slippers, spending hours barefoot on hard surfaces, standing for extended periods at work, or hiking uneven trails like Diamond Head or Lanikai Pillbox can increase stress across the big toe joint and accelerate progression of the deformity. Prior injuries to the big toe may also contribute to bunion formation.
What are Bunions?
The big toe joint plays a critical role in normal walking and push-off. A bunion forms when the alignment of this joint becomes abnormal, causing the metatarsal bone to shift inward while the big toe drifts outward. This imbalance leads to increased pressure across the joint, inflammation, and gradual enlargement of the bony prominence.
As the deformity progresses, the surrounding soft tissues become strained, the joint capsule may weaken, and cartilage damage can develop. Bunions are often progressive and do not resolve on their own without intervention.
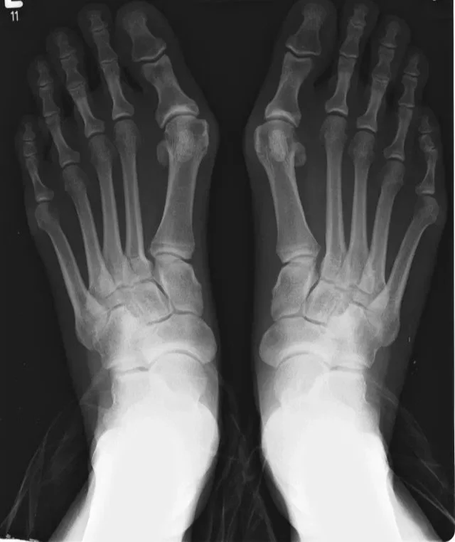
Diagnosis of Bunions
Diagnosis of a bunion begins with a thorough clinical examination, including evaluation of toe alignment, joint motion, areas of tenderness, and overall foot mechanics. Gait assessment is often helpful in identifying abnormal loading patterns.
Weight-bearing X-rays are used to confirm the diagnosis and assess the severity of the deformity. Imaging allows for evaluation of joint congruency, angular alignment, and the presence of arthritis, all of which are important for guiding treatment decisions.
Symptoms of Bunions
Common symptoms associated with bunions include:
Pain or aching at the base of the big toe
Swelling or redness over the joint
Stiffness or limited motion of the big toe
Difficulty wearing certain shoes
Pain that worsens with prolonged walking or standing
Symptoms often progress gradually and may interfere with daily activities and exercise.
Non-Surgical Treatment Options
In early or mild cases, bunion symptoms may be managed with conservative treatment, including:
Shoe modifications and wider footwear
Activity modification
Custom orthotics
Padding or toe spacers
Anti-inflammatory medications
While these measures may reduce discomfort, they do not correct the underlying deformity.
Surgical Treatment for Bunions
When pain persists despite non-surgical care, bunion correction surgery may be recommended. Surgical treatment is tailored to the severity of the deformity, joint condition, and patient goals, and may involve:
The goal of surgery is to relieve pain, restore alignment, and improve long-term function, allowing patients to return to normal activities.
Recovery and Rehabilitation
Recovery after bunion treatment varies depending on whether care is non-surgical or surgical. Conservative management focuses on symptom control and activity modification.
Following bunion correction surgery, recovery often includes a period of protected weight bearing, specialized footwear, and gradual return to normal shoes. Rehabilitation emphasizes swelling control, toe mobility, and restoration of normal gait mechanics. Full recovery may take several months, depending on the procedure performed.
Office Location
30 Aulike St. Suite 201
Kailua, HI 96734
Contact Information
scheduling@windortho.net
(808) 261-4658
Surgical Facilities
Castle Medical Center
Windward Surgery Center
