Ankle Arthritis
Ankle Arthritis Treatment in Hawaii
Ankle arthritis is a degenerative condition that affects the ankle joint, where the tibia, fibula, and talus meet. Unlike hip or knee arthritis, ankle arthritis is most commonly post-traumatic, developing after a previous injury such as an ankle fracture or severe ankle sprain. Over time, damage to the joint surface leads to pain, stiffness, swelling, and progressive loss of function.
In Hawaii, ankle arthritis frequently develops in individuals who remain active after ankle injuries sustained during island activities such as trail hiking at Diamond Head or Makapuʻu, surfing and walking across rocky shorelines, beach volleyball at Ala Moana or Magic Island, or recreational sports on uneven ground. Even injuries that initially seemed minor can alter joint mechanics and eventually lead to arthritis years later.
At our foot and ankle orthopedic practice in Kailua, Hawaii, we specialize in the evaluation and treatment of ankle arthritis, offering both non-surgical and surgical options for patients throughout Kailua, Honolulu, and across Oʻahu.
What is Ankle Arthritis?
The ankle joint is designed to tolerate high forces during walking, running, and jumping, but it relies on smooth cartilage surfaces and proper alignment to function normally. Ankle arthritis occurs when the cartilage lining the joint wears down or is damaged, leading to bone-on-bone contact, inflammation, and pain.
Most cases of ankle arthritis are post-traumatic, meaning they develop after an injury that disrupts the cartilage or alignment of the joint. These injuries can include ankle fractures, repeated ankle sprains, or ligament damage that causes chronic instability. Less commonly, ankle arthritis may result from inflammatory conditions or long-standing abnormal foot or ankle alignment.
As arthritis progresses, patients often experience increasing stiffness, reduced motion, and difficulty walking on uneven surfaces, which can significantly limit daily activities and an active lifestyle.
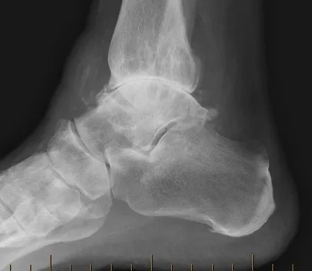
Diagnosis of Ankle Arthritis
Diagnosis of ankle arthritis begins with a detailed clinical evaluation, including a review of prior injuries, activity level, and symptom progression. Physical examination focuses on ankle motion, joint tenderness, swelling, alignment, and gait.
Weight-bearing X-rays are the primary imaging study used to confirm the diagnosis and may demonstrate joint space narrowing, bone spurs, deformity, or evidence of prior trauma. In more complex cases, CT scans or MRI may be obtained to further evaluate joint surfaces, alignment, or associated soft-tissue pathology.
Accurate diagnosis is critical, as treatment decisions depend on the severity of arthritis, joint alignment, and patient goals.
Symptoms of Ankle Arthritis
Common symptoms of ankle arthritis include:
Chronic ankle pain that worsens with activity
Stiffness and reduced range of motion
Swelling around the ankle joint
Pain with walking, especially on uneven surfaces
Difficulty with prolonged standing or recreational activities
Symptoms often progress gradually and may significantly interfere with daily activities and an active lifestyle in Hawaii.
Non-Surgical Treatment Options
Early or moderate ankle arthritis may be managed with conservative treatment options, including:
Activity modification
Supportive footwear or ankle bracing
Custom orthotics
Anti-inflammatory medications
Corticosteroid injections in select cases
These treatments aim to reduce pain and improve function but do not reverse underlying joint degeneration.
Surgical Treatment for Ankle Arthritis
When non-surgical treatment fails to provide adequate relief, surgical management may be recommended. Surgical options depend on the severity of arthritis, joint alignment, and patient activity level, and may include:
The goals of surgery are to relieve pain, improve stability, and restore function, allowing patients to return to daily activities and maintain mobility.
Office Location
30 Aulike St. Suite 201
Kailua, HI 96734
Contact Information
scheduling@windortho.net
(808) 261-4658
Surgical Facilities
Castle Medical Center
Windward Surgery Center
