Pilon Fracture
Pilon Fracture Treatment in Hawaii
A pilon fracture is a complex fracture of the distal tibia involving the ankle joint surface. These injuries typically result from high-energy axial loading, where the talus is driven upward into the tibia, causing comminution and damage to the articular cartilage. Pilon fractures often involve significant soft-tissue injury and require careful, staged management.
In Hawaii, pilon fractures are commonly sustained during falls from height, motor vehicle or motorcycle collisions, or impact injuries such as falls while hiking steep terrain, climbing ladders, or descending uneven trails. Patients may also sustain pilon fractures during water-related activities or accidents involving hard landings onto the foot.
What are Pilon Fractures?
The ankle joint relies on precise alignment and a smooth cartilage surface to function properly. In a pilon fracture, the distal tibial plafond is fractured, often into multiple fragments, disrupting joint congruity and stability. These fractures frequently occur in combination with fibular fractures and severe swelling or soft-tissue compromise.
Because the injury involves the weight-bearing surface of the ankle, pilon fractures carry a high risk of post-traumatic arthritis, stiffness, and long-term functional limitations if not treated appropriately. Management focuses on restoring alignment, maintaining joint surface integrity, and protecting the surrounding soft tissues.
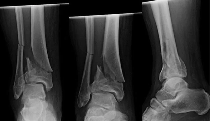
Diagnosis of Pilon Fractures
Diagnosis of a pilon fracture begins with urgent clinical evaluation, focusing on swelling, deformity, skin integrity, and neurovascular status. Due to the severity of these injuries, careful assessment of the soft tissues is critical.
Symptoms of Pilon Fractures
Common symptoms include severe ankle pain, inability to bear weight, significant swelling, bruising, deformity around the ankle, and tenderness extending above the joint. In severe cases, blistering or open wounds may be present.
Imaging plays a central role in diagnosis. X-rays are used to identify fracture patterns and alignment, while CT scans are routinely obtained to evaluate the extent of joint surface involvement and to assist with surgical planning.
Non-Surgical Treatment Options
Non-surgical management of pilon fractures is limited and typically reserved for patients who are unable to undergo surgery or in select low-energy fracture patterns. Conservative treatment may include:
Temporary immobilization
Strict non–weight bearing
Close monitoring of fracture alignment
Most pilon fractures, however, require surgical intervention due to the complexity of the injury.
Surgical Treatment for Pilon Fractures
Surgical management is commonly required for pilon fractures and is often performed in a staged manner. Initial treatment may involve external fixation to restore length and alignment while allowing swelling to subside. Definitive fixation is then performed once soft tissues are suitable.
Surgical goals include:
Restoration of joint alignment and stability
Anatomic reconstruction of the articular surface
Preservation of soft tissues
Minimization of long-term complications
Despite optimal treatment, pilon fractures remain challenging injuries and require a prolonged recovery period with dedicated rehabilitation.
Recovery and Rehabilitation
Recovery after a pilon fracture is often prolonged due to the severity of the injury and involvement of the ankle joint. Early recovery focuses on protecting soft tissues and maintaining fracture alignment.
Rehabilitation typically includes extended non-weight bearing, followed by gradual weight bearing and physical therapy to restore ankle motion, strength, and function. Long-term recovery may take many months, and stiffness or arthritis can occur despite appropriate treatment.
Office Location
30 Aulike St. Suite 201
Kailua, HI 96734
Contact Information
scheduling@windortho.net
(808) 261-4658
Surgical Facilities
Castle Medical Center
Windward Surgery Center
