Cartilage Injury (Osteochondral Defect)
Cartilage Injury Treatment in Hawaii
Cartilage injuries of the foot and ankle involve damage to the smooth articular cartilage that lines joint surfaces and allows for painless motion. When this cartilage is injured, patients may develop persistent pain, swelling, stiffness, and mechanical symptoms that can interfere with daily activities and athletic performance.
In Hawaii, cartilage injuries commonly occur during activities that place repetitive or sudden stress on the ankle and foot, such as trail hiking on uneven terrain, surfing and navigating rocky shorelines, beach volleyball, or recreational sports involving cutting and jumping. Prior ankle sprains, fractures, or repetitive microtrauma can damage cartilage over time, even if the initial injury seemed minor.
What are Cartilage Injuries?
Articular cartilage acts as a low-friction, shock-absorbing surface within joints. Unlike bone or muscle, cartilage has a limited ability to heal, making injuries particularly challenging. Cartilage damage may occur as an isolated injury or in association with ligament injuries, fractures, or joint instability.
In the foot and ankle, cartilage injuries most commonly affect the ankle joint (talus) but can also involve other joints of the midfoot or forefoot. Over time, untreated cartilage damage can progress and contribute to early arthritis.
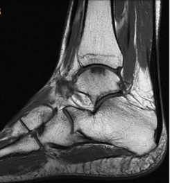
Diagnosis of Cartilage Injuries
Diagnosis of a cartilage injury begins with a detailed clinical evaluation, including assessment of pain location, swelling, joint motion, and mechanical symptoms such as catching or locking. A history of ankle sprain, fracture, or repetitive impact is often present.
Symptoms of Cartilage Injuries
Common symptoms include deep joint pain, swelling that worsens with activity, stiffness, clicking or catching sensations, a feeling of joint instability, and pain that persists despite rest or conservative care.
Imaging plays an important role in diagnosis. X-rays may be used to assess joint alignment and rule out associated bone injury, while MRI is often helpful for identifying cartilage defects, bone bruising, and associated soft-tissue pathology.
Non-Surgical Treatment Options
Some cartilage injuries may be managed initially with non-surgical treatment, particularly when symptoms are mild or activity-related. Conservative options may include:
Activity modification
Immobilization or bracing
Physical therapy
Anti-inflammatory medications
Injections in select cases
These treatments aim to reduce pain and inflammation but do not restore damaged cartilage.
Surgical Treatment for Cartilage Injuries
When symptoms persist despite non-surgical care, surgical treatment may be recommended. Surgical options depend on the size, depth, and location of the cartilage defect and may include:
Arthroscopic debridement or stabilization
Microfracture or marrow stimulation techniques
Cartilage restoration or repair procedures
Treatment of associated ligament or alignment issues
The goal of surgery is to reduce pain, improve joint function, and slow progression toward arthritis, allowing patients to return to daily activities and sports when appropriate.
Recovery and Rehabilitation
Recovery from cartilage injuries depends on the size, depth, and location of the defect, as well as whether surgical intervention was required. Early recovery emphasizes joint protection and swelling control.
Rehabilitation often involves a gradual return to motion, strengthening, and weight bearing while minimizing joint overload. Surgical cartilage procedures may require prolonged activity modification and structured physical therapy to optimize joint health and function.
Office Location
30 Aulike St. Suite 201
Kailua, HI 96734
Contact Information
scheduling@windortho.net
(808) 261-4658
Surgical Facilities
Castle Medical Center
Windward Surgery Center
