Cavus Foot (High Arch)
Cavus Foot Treatment in Hawaii
Cavus foot, also known as a high-arch deformity, is a condition in which the arch of the foot is abnormally elevated during standing and walking. Unlike flatfoot, cavus foot is often associated with underlying neurologic or muscular imbalance and can lead to pain, instability, recurrent ankle sprains, and progressive foot deformity.
In Hawaii, cavus foot often becomes symptomatic during activities that challenge balance and foot stability, such as walking on uneven terrain, trail hiking, long beach walks, or standing for prolonged periods. Patients may first notice symptoms when they experience frequent ankle sprains, pain under the ball or heel of the foot, or difficulty with shoe wear during everyday island activities.
What is Cavus Foot?
A cavus foot is characterized by an excessively high arch that persists during weight bearing. This abnormal alignment shifts weight toward the heel and forefoot, increasing pressure in these areas and reducing the foot’s ability to absorb shock.
Cavus foot is frequently associated with muscle imbalance, often due to neurologic conditions affecting muscle strength and coordination. Over time, this imbalance can lead to progressive deformity, clawing of the toes, hindfoot varus (heel tilted inward), and lateral ankle instability. Without appropriate management, cavus foot can contribute to chronic pain, recurrent injuries, and difficulty with walking or standing.
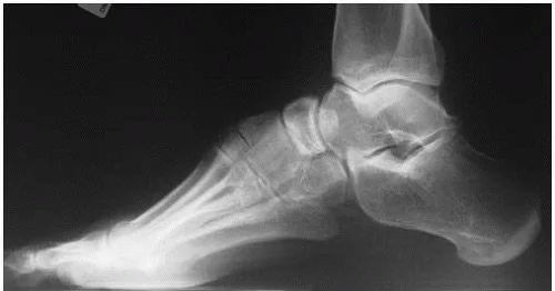
Diagnosis of Cavus Foot
Diagnosis begins with a comprehensive clinical evaluation, focusing on arch height, heel alignment, toe position, and overall gait mechanics. Examination assesses foot flexibility, areas of pressure or callusing, and signs of ankle instability. Evaluation may also include screening for underlying neurologic causes.
Symptoms of Cavus Foot
Common symptoms include pain under the heel or ball of the foot, frequent ankle sprains, instability on uneven surfaces, calluses under high-pressure areas, clawing of the toes, and fatigue or discomfort with prolonged walking or standing.
Weight-bearing X-rays are typically used to confirm the diagnosis and evaluate alignment, joint relationships, and associated deformities. Advanced imaging or neurologic evaluation may be considered when an underlying condition is suspected.
Non-Surgical Treatment Options
Mild or flexible cavus foot may be managed with non-surgical treatment, including:
Custom orthotics to redistribute pressure
Supportive footwear
Bracing for ankle instability
Activity modification
Physical therapy
These treatments aim to improve comfort and stability but do not correct structural deformity.
Surgical Treatment for Cavus Foot
When cavus foot causes persistent pain, instability, or progressive deformity despite non-surgical care, surgical correction may be recommended. Surgical treatment is highly individualized and may involve a combination of procedures, including:
Tendon transfers to rebalance muscle forces
Osteotomies to realign the foot
Ligament reconstruction for ankle stability
The goals of surgery are to restore alignment, improve stability, redistribute pressure, and reduce pain, allowing patients to return to daily activities with improved function.
Recovery and Rehabilitation
Recovery from cavus foot treatment depends on deformity severity and whether surgery was required. Non-surgical care focuses on long-term symptom management and stability.
After reconstructive surgery, recovery is often prolonged and staged, with immobilization, gradual weight bearing, and structured rehabilitation. Therapy focuses on restoring alignment, balance, and strength.
Office Location
30 Aulike St. Suite 201
Kailua, HI 96734
Contact Information
scheduling@windortho.net
(808) 261-4658
Surgical Facilities
Castle Medical Center
Windward Surgery Center
