Flatfoot Reconstruction
Flatfoot Reconstruction Surgery in Hawaii
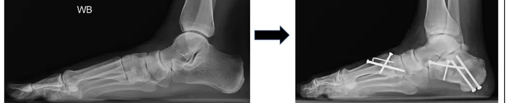
Flatfoot reconstruction is a comprehensive surgical approach used to treat painful adult-acquired or congenital flatfoot deformity associated with tendon dysfunction, instability, and progressive collapse of the arch.
In advanced or rigid deformities, hindfoot arthrodesis (fusion) may be required as part of reconstruction to achieve durable correction.
How Surgery Is Performed
Flatfoot reconstruction typically involves a combination of procedures, which may include tendon repair or transfer, osteotomies, ligament reconstruction, and in severe cases, hindfoot fusion.
Goals of surgery include:
Restoring arch alignment
Relieving pain and instability
Improving walking endurance
Preventing progression of deformity
Recovery After Surgery
Recovery is staged and protective due to the complexity of reconstruction.
Typical recovery progression includes:
Prolonged immobilization with non–weight bearing
Gradual progression to protected and then full weight bearing
Physical therapy focused on strength, balance, and gait retraining
Gradual return to normal activity over several months
Risks and Considerations
Risks include nonunion, stiffness, nerve irritation, hardware discomfort, and need for additional procedures. Recovery may be longer when fusion is required.
Office Location
30 Aulike St. Suite 201
Kailua, HI 96734
Contact Information
scheduling@windortho.net
(808) 261-4658
Surgical Facilities
Castle Medical Center
Windward Surgery Center
