Talus Fracture
Talus Fracture Treatment in Hawaii
A talus fracture is a fracture of the talus bone, which sits between the tibia and fibula above and the heel bone below, forming a critical connection within the ankle and hindfoot. The talus plays a central role in weight bearing and ankle motion, and injuries to this bone can have significant long-term consequences if not treated appropriately.
In Hawaii, talus fractures commonly occur during high-impact injuries such as falls from height, motor vehicle or motorcycle accidents, or hard landings while hiking steep or uneven terrain. Ankle twisting injuries during trail hiking, water sports, or recreational activities on uneven ground can also result in fractures of the talus.
What are Talus Fractures
The talus is unique in that much of its surface is covered by articular cartilage and it has a limited blood supply. Because of this, talus fractures are at increased risk for complications such as avascular necrosis, post-traumatic arthritis, stiffness, and chronic pain.
Talus fractures may involve different regions of the bone, including the talus neck, body, head, or lateral process, each with distinct injury patterns and treatment considerations. Even fractures that appear minimally displaced on initial imaging can have significant implications due to the importance of precise joint alignment and blood flow.
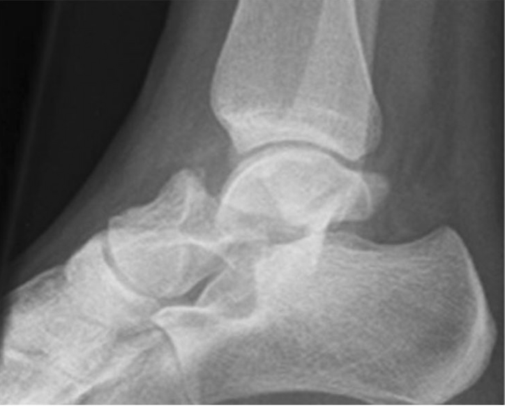
Diagnosis of Talus Fractures
Diagnosis begins with a careful clinical evaluation, focusing on swelling, pain, ankle or hindfoot deformity, and the ability to bear weight. Assessment of skin integrity and neurovascular status is critical given the energy often involved in these injuries.
Symptoms of Talus Fractures
Common symptoms include deep ankle or hindfoot pain, swelling, bruising, difficulty or inability to bear weight, stiffness, and pain that worsens with any attempt at ankle motion or standing.
Imaging is essential for accurate diagnosis. X-rays are used initially, but CT scans are frequently obtained to define fracture patterns, displacement, and joint involvement. MRI may be considered in select cases to assess cartilage injury or blood supply to the talus.
Non-Surgical Treatment Options
Non-surgical treatment may be appropriate for non-displaced or stable talus fractures. Conservative management may include:
Immobilization in a cast or boot
Strict non-weight bearing
Close radiographic monitoring
Gradual progression of activity during healing
Careful follow-up is essential due to the risk of late displacement or complications.
Surgical Treatment for Talus Fractures
Many talus fractures require surgical intervention, particularly when displacement, joint incongruity, or instability is present. Surgical options depend on fracture location and severity and may include:
Open reduction and internal fixation
Minimally invasive fixation techniques
Staged procedures in cases with significant soft-tissue injury
The goals of surgery are to restore anatomic alignment, preserve joint surfaces, and reduce the risk of long-term complications such as arthritis or avascular necrosis. Recovery is often prolonged and requires strict adherence to weight-bearing restrictions and rehabilitation protocols.
Recovery and Rehabilitation
Recovery from toe fractures is typically straightforward but depends on fracture location and alignment. Non-surgical care focuses on protection and gradual return to activity.
Following surgical treatment, rehabilitation emphasizes maintaining toe alignment, reducing stiffness, and restoring comfortable walking. Most patients recover within weeks to months, depending on injury severity.
Office Location
30 Aulike St. Suite 201
Kailua, HI 96734
Contact Information
scheduling@windortho.net
(808) 261-4658
Surgical Facilities
Castle Medical Center
Windward Surgery Center
