5th Metatarsal Fracture
5th Metatarsal Base Fracture Treatment in Hawaii
A 5th metatarsal base fracture is a fracture that occurs at the base of the long bone on the outside of the foot. These fractures are common injuries and can occur through a variety of mechanisms, ranging from low-energy twisting injuries to higher-energy trauma. The exact location of the fracture along the base of the bone plays a critical role in healing potential and treatment decisions.
In Hawaii, 5th metatarsal base fractures frequently occur during ankle twisting injuries on uneven ground, missteps on sand or lava rock, sudden changes in direction during recreational sports, or awkward landings while hiking island trails. Walking barefoot or in minimal footwear can increase the risk of inversion injuries that place stress on the outer foot.
What are 5th Metatarsal Base Fractures
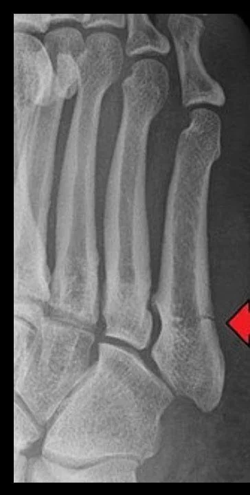
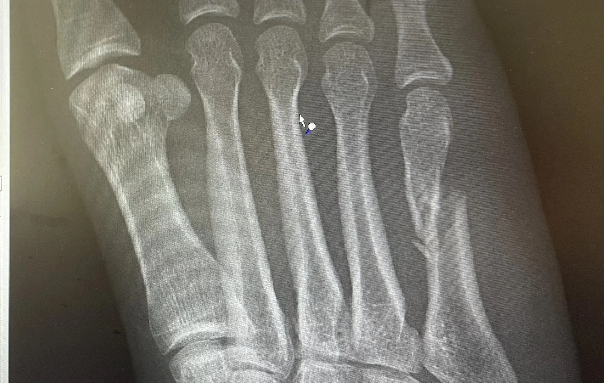
The base of the fifth metatarsal serves as an attachment point for several important tendons and ligaments that help stabilize the foot. Fractures in this region are commonly classified into three zones, each with different healing characteristics and treatment considerations.
Zone I fractures occur at the tuberosity of the fifth metatarsal and are often referred to as avulsion fractures. These injuries typically result from an inversion ankle injury and generally have a good blood supply, allowing them to heal reliably with non-surgical treatment.
Zone II fractures, commonly known as Jones fractures, occur at the metaphyseal-diaphyseal junction of the bone. This area has a relatively limited blood supply, which increases the risk of delayed healing or nonunion. These fractures require closer monitoring and may warrant surgical treatment in active individuals.
Zone III fractures occur farther along the shaft of the bone and are often associated with stress injuries or repetitive loading. These fractures carry the highest risk of delayed healing and nonunion and frequently require surgical intervention, particularly in athletes or patients with persistent symptoms.
Accurate identification of the fracture zone is essential, as it directly influences treatment recommendations, recovery time, and long-term outcomes.
Diagnosis of 5th Metatarsal Base Fractures
Diagnosis begins with a focused clinical evaluation, assessing swelling, bruising, tenderness along the outer foot, and the ability to bear weight. Careful examination helps distinguish these fractures from ankle sprains or soft-tissue injuries.
Symptoms of 5th Metatarsal Base Fractures
Common symptoms include pain along the outside of the foot, swelling or bruising near the base of the fifth toe, pain with walking or standing, localized tenderness, and difficulty bearing weight following injury.
Imaging is used to confirm the diagnosis. X-rays typically identify the fracture location and allow classification into zones, which is critical for guiding treatment. Follow-up imaging may be obtained to assess healing progress.
Non-Surgical Treatment Options
Many 5th metatarsal base fractures—particularly Zone I fractures—can be treated without surgery. Non-surgical treatment may include:
Immobilization in a boot or cast
Activity modification
Protected or non-weight bearing as indicated
Gradual return to activity as healing progresses
Close follow-up is important to ensure appropriate fracture healing.
Surgical Treatment for 5th Metatarsal Base Fractures
Surgical treatment may be recommended for fractures that are displaced, occur in Zones II or III, or fail to heal with conservative care. Surgical options depend on fracture type and patient activity level and may include:
Internal fixation with screws
Stabilization to promote reliable bone healing
The goals of surgery are to promote predictable union, restore foot stability, and allow safe return to activity, particularly in active or athletic patients.
Recovery and Rehabilitation
Recovery depends on fracture zone and treatment method. Zone I fractures often heal reliably with conservative care, while higher-risk fractures may require longer protection.
Rehabilitation emphasizes gradual return to weight bearing and activity once healing is confirmed. Surgically treated fractures may allow more predictable healing but still require careful progression.
Office Location
30 Aulike St. Suite 201
Kailua, HI 96734
Contact Information
scheduling@windortho.net
(808) 261-4658
Surgical Facilities
Castle Medical Center
Windward Surgery Center
