Forefoot Fracture
Toe Fracture Treatment in Hawaii
Forefoot phalanx fractures are fractures of the toe bones, which play an important role in balance, push-off, and overall gait mechanics. These injuries range from simple, non-displaced fractures to more complex injuries involving joint surfaces or multiple toes.
In Hawaii, toe fractures commonly occur during everyday activities such as stubbing the toe while barefoot at home, dropping heavy objects, or impact injuries on uneven surfaces like sand, lava rock, or reef. Recreational activities, water sports, and accidental trauma during hiking or work-related tasks can also lead to fractures of the toes.
What are Toe Fractures?
Each toe is composed of small bones called phalanges, which are connected by joints and supported by surrounding soft tissues. The great toe has two phalanges, while the lesser toes have three. Fractures may involve the shaft of the bone, the joint surface, or the tip of the toe.
Although toe fractures are often perceived as minor injuries, improper healing can result in chronic pain, stiffness, deformity, and altered gait mechanics. Fractures involving the great toe or joint surfaces are particularly important to evaluate carefully, as they play a significant role in normal walking and push-off.
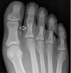
Diagnosis of Toe Fractures
Diagnosis begins with a focused clinical evaluation, assessing swelling, bruising, tenderness, alignment, and the ability to bear weight or move the affected toe. Careful examination is important to identify rotational deformity or joint involvement.
Symptoms of Forefoot Phalanx Fractures
Common symptoms include localized toe pain, swelling, bruising, difficulty walking, pain with shoe wear, stiffness, and tenderness that worsens with pressure or movement.
Imaging is used to confirm the diagnosis. X-rays are typically sufficient to identify the fracture pattern, degree of displacement, and joint involvement. Advanced imaging is rarely required but may be considered in complex or unclear cases.
Non-Surgical Treatment Options
Many forefoot phalanx fractures can be treated without surgery, particularly when fractures are non-displaced and well aligned. Non-surgical treatment options may include:
Buddy taping to adjacent toes
Protective footwear or stiff-soled shoes
Activity modification
Short-term immobilization
Pain control and swelling management
Close follow-up is important to ensure proper healing and alignment.
Surgical Treatment for Toe Fractures
Surgical treatment may be recommended for fractures that are displaced, unstable, involve the joint surface, or affect the great toe. Surgical options depend on fracture location and pattern and may include:
Reduction and internal fixation
Pin or screw fixation
Realignment of joint surfaces when involved
The goals of surgery are to restore alignment, maintain joint motion when possible, and prevent long-term pain or deformity, allowing patients to return to normal activities.
Recovery and Rehabilitation
Recovery from toe fractures is typically straightforward but depends on fracture location and alignment. Non-surgical care focuses on protection and gradual return to activity.
Following surgical treatment, rehabilitation emphasizes maintaining toe alignment, reducing stiffness, and restoring comfortable walking. Most patients recover within weeks to months, depending on injury severity.
Office Location
30 Aulike St. Suite 201
Kailua, HI 96734
Contact Information
scheduling@windortho.net
(808) 261-4658
Surgical Facilities
Castle Medical Center
Windward Surgery Center
