1st MTP joint arthrodesis (Great Toe Fusion)
1st MTP Fusion Surgery in Hawaii
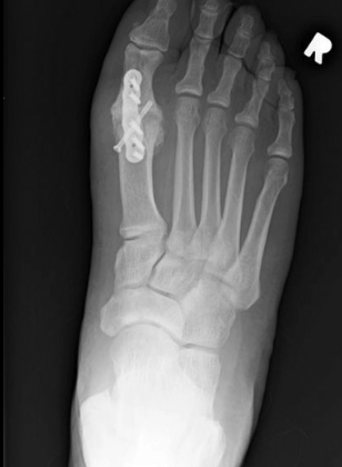
First metatarsophalangeal (1st MTP) joint fusion is a surgical procedure used to treat advanced arthritis of the big toe joint (hallux rigidus), deformity, or instability causing chronic pain and functional limitation. The procedure eliminates painful joint motion by permanently fusing the bones of the joint.
Fusion is typically recommended when non-surgical treatment and joint-preserving procedures no longer provide adequate relief.
How Surgery Is Performed
1st MTP fusion involves removing damaged cartilage from the big toe joint and positioning the bones in optimal alignment. The joint is then stabilized using plates and screws to allow the bones to fuse into a single, solid unit.
Goals of surgery include:
Eliminating pain from arthritic joint motion
Restoring stable alignment of the big toe
Improving push-off strength during walking
Allowing return to comfortable shoe wear
Recovery After Surgery
Recovery focuses on achieving solid fusion while protecting the surgical site.
Typical recovery progression includes:
Initial immobilization with protected or non–weight bearing
Gradual progression to full weight bearing in a postoperative shoe or boot
Physical therapy focused on gait training and strengthening surrounding joints
Transition to regular footwear once fusion is confirmed
Full recovery typically occurs over several months, with most patients achieving reliable pain relief and improved function.
Risks and Considerations
Risks include nonunion, hardware irritation, infection, stiffness of adjacent joints, or continued discomfort. Loss of motion at the fused joint is expected, but most patients tolerate this well due to pain relief and improved stability.
Office Location
30 Aulike St. Suite 201
Kailua, HI 96734
Contact Information
scheduling@windortho.net
(808) 261-4658
Surgical Facilities
Castle Medical Center
Windward Surgery Center
