Ankle Fusion
Ankle Arthrodesis Surgery in Hawaii
Ankle arthrodesis, also known as ankle fusion, is a surgical procedure used to treat severe ankle arthritis or deformity that causes chronic pain and functional limitation. The procedure eliminates painful joint motion by permanently fusing the bones of the ankle joint.
Ankle arthrodesis is typically considered when non-surgical treatments have failed and when joint-preserving options or ankle replacement are not appropriate due to alignment, bone quality, or activity demands.
How Surgery Is Performed
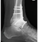
Ankle arthrodesis involves removing the remaining cartilage from the ankle joint and positioning the tibia and talus in optimal alignment. The bones are then secured together using plates, screws, or other fixation devices to allow them to fuse into a single, stable bone.
Goals of surgery include:
Eliminating pain caused by arthritic joint motion
Restoring stable and functional alignment
Improving walking tolerance and overall function
Providing a durable, long-term solution for end-stage arthritis
Recovery After Surgery
Recovery after ankle fusion focuses on achieving solid bone healing while gradually restoring strength and function.
Typical recovery progression includes:
Initial immobilization with strict non–weight bearing
Gradual progression to partial and then full weight bearing once fusion is progressing
Physical therapy focused on strengthening, balance, and gait adaptation
Return to daily activities as healing allows, with long-term emphasis on supportive footwear
Full recovery may take several months, and while ankle motion is eliminated, most patients experience significant pain relief and improved stability.
Risks and Considerations
Potential risks include nonunion (failure of the bones to fuse), infection, wound complications, nerve irritation, hardware irritation, or stress on adjacent joints. Careful patient selection and adherence to postoperative restrictions are critical to achieving successful fusion.
Office Location
30 Aulike St. Suite 201
Kailua, HI 96734
Contact Information
scheduling@windortho.net
(808) 261-4658
Surgical Facilities
Castle Medical Center
Windward Surgery Center
