Flatfoot (pes planus)
Flatfoot Treatment in Hawaii
Flatfoot, also known as pes planus, is a condition in which the arch of the foot collapses or fails to maintain its normal shape during standing and walking. While some people are born with flexible flatfeet that remain painless, others develop progressive flatfoot deformity in adulthood, often associated with pain, instability, and functional limitations.
In Hawaii, flatfoot commonly becomes symptomatic in individuals who spend significant time walking barefoot or in minimal footwear, standing for long periods, or walking on uneven terrain such as sand, trails, or rocky surfaces. Activities such as long beach walks, hiking island trails, or occupations that require prolonged standing can place increased stress on the arch-supporting structures of the foot and contribute to progression of the deformity.
What is Flatfoot?
The arch of the foot is maintained by a combination of bones, ligaments, and tendons, most notably the posterior tibial tendon. Flatfoot develops when these supporting structures weaken or fail, allowing the arch to collapse and the heel to drift outward.
Adult flatfoot is often progressive, meaning the deformity and symptoms worsen over time if left untreated. As alignment changes, abnormal forces are placed on the foot and ankle joints, which can lead to pain, fatigue, instability, and eventual arthritis. Flatfoot may be flexible in early stages but can become stiff and rigid as degeneration progresses.
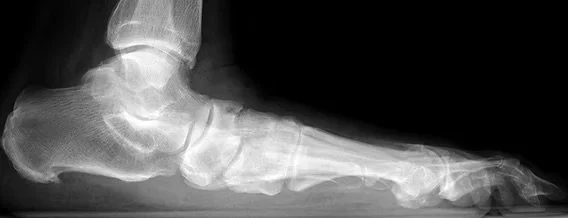
Diagnosis of Flatfoot
Diagnosis of flatfoot begins with a comprehensive clinical examination, focusing on foot alignment, arch height, heel position, and overall gait mechanics. Evaluation includes assessment of hindfoot flexibility, tendon strength, and areas of tenderness.
Symptoms of Flatfoot
Common symptoms include pain along the inside of the ankle or arch, fatigue with walking or standing, swelling along the course of the posterior tibial tendon, difficulty walking on uneven surfaces, and progressive flattening or outward drift of the foot.
Weight-bearing X-rays are typically used to confirm the diagnosis and assess the severity of deformity, joint alignment, and the presence of arthritis. Advanced imaging such as MRI may be obtained in select cases to evaluate tendon integrity or associated soft-tissue pathology.
Non-Surgical Treatment Options
Early or mild flatfoot may be managed with conservative treatment, including:
Activity modification
Supportive footwear
Custom orthotics or bracing
Physical therapy
Anti-inflammatory medications
These treatments aim to relieve symptoms and support the arch but do not correct structural deformity.
Surgical Treatment for Flatfoot
When symptoms persist or the deformity progresses despite non-surgical care, surgical treatment may be recommended. Surgical correction is individualized and may involve a combination of procedures, including:
Tendon repair or reconstruction
Osteotomies to realign the foot
Ligament reconstruction
Joint fusion in cases of advanced deformity or arthritis
The goal of surgery is to restore alignment, relieve pain, and improve long-term function, allowing patients to return to daily activities with improved stability and comfort.
Recovery and Rehabilitation
Recovery from flatfoot treatment depends on deformity severity and whether treatment is non-surgical or surgical. Conservative care focuses on long-term symptom management and arch support.
After surgical reconstruction, recovery often involves a prolonged period of immobilization and limited weight bearing. Rehabilitation progresses gradually with emphasis on restoring alignment, strength, balance, and gait mechanics. Full recovery may take several months.
Office Location
30 Aulike St. Suite 201
Kailua, HI 96734
Contact Information
scheduling@windortho.net
(808) 261-4658
Surgical Facilities
Castle Medical Center
Windward Surgery Center
