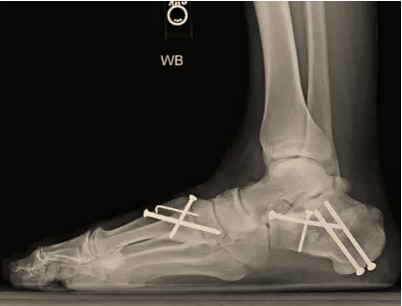
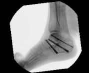
Deformity Correction Cavus Foot Reconstruction Cavus Foot Reconstruction Triple Fusion Triple Fusion Charcot Beaming Charcot Beaming Double Fusion Double Fusion Flatfoot Reconstruction Flatfoot Reconstruction Subtalar Fusion Subtalar Fusion