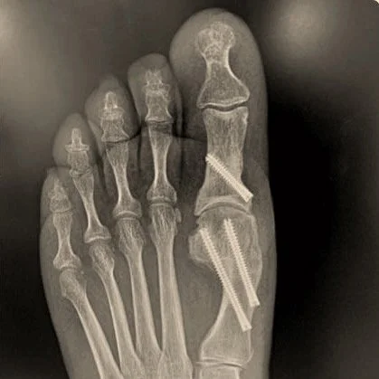
Bunion Correction and Forefoot Procedures Bunion Correction Bunion Correction 1st MTP joint decompression osteotomy 1st MTP joint decompression osteotomy Cheilectomy Cheilectomy Plantar Plate Repair Plantar Plate Repair 5th Metatarsal Osteotomy (Bunionette Correction) 5th Metatarsal Osteotomy (Bunionette Correction) Metatarsal Osteotomy Metatarsal Osteotomy Hammertoe Correction Hammertoe Correction Sesamoidectomy Sesamoidectomy